MammoScreen® can provide unparalleled efficiency gains for radiologists.

As a radiologist, you face the challenge of balancing an increasing workload with the need for accuracy and efficiency.
MammoScreen supports you as a reading aid, delivering fast, reliable analysis that enhances accuracy, reduces fatigue, and builds confidence in every decision. Thanks to MammoScreen, your team will read faster, specifically with green and red scored cases.
Enhanced Accuracy
MammoScreen enhances radiologists’ cancer detection rate by helping them focus on the cases that matter most — those at high risk.
Powered by the MammoScreen Score, our AI identifies the most suspicious cases with red scores (7 to 10). In a screening population, around 5% of cases are marked in red, yet they represent about 70% of all cancers detected.*
Find More Cancer
With MammoScreen, radiologists are able to detect up to 53% of missed cancers*.
Want to see how we perform on your cases? Set up a retrospective study with us on your data.
*Pacilè, S., Fillard, P.(2021). Artificial Intelligence for Digital Breast Tomosynthesis a tool to enhance radiologist’s performance and efficiency. [poster presentation]. RSNA 2021, Chicago, IL


Catch Cancer Earlier
In a study of more than 800k exams, MammoScreen caught 42% of visible cancers one year before diagnosis, and 38.5% of cancers two years before diagnosis*.
In the case example displayed here, the patient was diagnosed in 2015 with Stage 2A breast cancer, but had MammoScreen been used, the finding would have been identified on the screening two years before.
Reducing Radiologist Fatigue
With its simple, intuitive interface, MammoScreen streamlines mammogram reading. Its decision-support features help lighten radiologists’ mental workload, allowing them to make decisions more confidently and efficiently.

What's different about this report?

By default, no low suspicion findings are displayed, allowing for quicker reading and no screen pollution. This lets you focus on what matters most: yellow and red lesions.

of cases will be green, displaying no findings.*
*2 years of usage at a US site, including 99,190 cases.
Act faster on red-scored cases

Just 5% of cases are marked with red scores, flagging mammograms that demand closer attention.*

Red scores suggest you’re likely to recall, meaning you can move to action quickly.
*Data: 2 years of usage at a US site, including 99,190 cases.

Efficiency
MammoScreen Widget
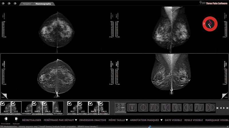
The MammoScreen Widget is a movable icon that provides a quick, at-a-glance, notification of pertinent information for the case. You will see the MammoScreen Score.
If it is green, you can quickly clear the case. If there is an alert, you can click the widget to see the full MammoScreen report.

Increased Confidence
Trust the Score

Time savings

Subtle findings

Reassurance
-
- For green cases,MammoScreen reassures you that the case is benign.
-
- For yellow cases, particular attention should be paid to the detected lesions, enabling earlier detection of certain subtle cancers.
-
- For red cases, MammoScreen MammoScreen highlights suspicious lesions.
MammoScreen incorporates priors for a more accurate analysis.
Vendor Neutral Solution
With MammoScreen, you won’t have to change your current workflow, allowing you to keep your habits and work faster. In addition, we are PACS, RIS and workstation viewer vendor neutral.
Request a demo
